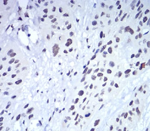
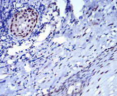
CBX5 Mouse Monoclonal antibody[1B102]

AccuSift
HP1; HP1A; HEL25
SKU Name Unit Price Delivery QTY
AC1379 CBX5 Mouse Monoclonal antibody[1B102] 100ug $367 10days
AC1379 CBX5 Mouse Monoclonal antibody[1B102] 200ug $660.6 10days

This gene encodes a highly conserved nonhistone protein, which is a member of the heterochromatin protein family. The protein is enriched in the heterochromatin and associated with centromeres. The protein has a single N-terminal chromodomain which can bind to histone proteins via methylated lysine residues, and a C-terminal chromo shadow-domain (CSD) which is responsible for the homodimerization and interaction with a number of chromatin-associated nonhistone proteins. The encoded product is involved in the formation of functional kinetochore through interaction with essential kinetochore proteins. The gene has a pseudogene located on chromosome 3. Multiple alternatively spliced variants, encoding the same protein, have been identified.



Aliases:    HP1; HP1A; HEL25    

Entrez GeneID:    23468    

Swissprot :   P45973       

WB Predicted band size:    22.2kDa    

Host/Isotype:    Mouse IgG1    

Species Reactivity :   Human,Mouse    

Immunogen :   Purified recombinant fragment of human CBX5 (AA: 1-191) expressed in E. Coli.    

Operation

WB    1/500 - 1/2000    

IHC    1/200 - 1/1000    

IF/ICC    1/200 - 1/1000    

ELISA    1/10000    

References