CAPN1 Mouse Monoclonal antibody[5B2G1]

AccuSift
CANP; muCL; CANP1; SPG76; CANPL1; muCANP
SKU Name Unit Price Delivery QTY
AC1361 CAPN1 Mouse Monoclonal antibody[5B2G1] 100ug $367 10days
AC1361 CAPN1 Mouse Monoclonal antibody[5B2G1] 200ug $660.6 10days

The calpains, calcium-activated neutral proteases, are nonlysosomal, intracellular cysteine proteases. The mammalian calpains include ubiquitous, stomach-specific, and muscle-specific proteins. The ubiquitous enzymes consist of heterodimers with distinct large, catalytic subunits associated with a common small, regulatory subunit. This gene encodes the large subunit of the ubiquitous enzyme, calpain 1. Several transcript variants encoding two different isoforms have been found for this gene. [provided by RefSeq, Nov 2010]



Aliases :   CANP; muCL; CANP1; SPG76; CANPL1; muCANP    

Entrez GeneID :   823    

Swissprot:   P07384        

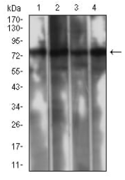
WB Predicted band size :   81.9kDa    

Host/Isotype :   Mouse IgG2a    

Species Reactivity :   Human    

Immunogen:    Purified recombinant fragment of human CAPN1 (AA: 501-714) expressed in E. Coli.    

Operation

WB    1/500 - 1/2000    

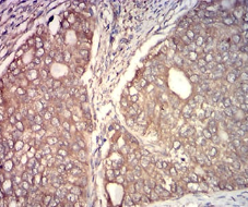
IHC    1/200 - 1/1000    

FCM    1/200 - 1/400    

ELISA    1/10000    

References