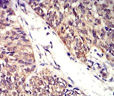
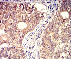
BTN2A2 Mouse Monoclonal antibody[6C7D2]

AccuSift
BTF2; BT2.2; BTN2.2
SKU Name Unit Price Delivery QTY
AC1321 BTN2A2 Mouse Monoclonal antibody[6C7D2] 100ug $367 10days
AC1321 BTN2A2 Mouse Monoclonal antibody[6C7D2] 200ug $660.6 10days

Butyrophilin is the major protein associated with fat droplets in the milk. This gene is a member of the BTN2 subfamily of genes, which encode proteins belonging to the butyrophilin protein family. The gene is located in a cluster on chromosome 6, consisting of seven genes belonging to the expanding B7/butyrophilin-like group, a subset of the immunoglobulin gene superfamily. The encoded protein is a type I receptor glycoprotein involved in lipid, fatty-acid and sterol metabolism. Several alternatively spliced transcript variants encoding different isoforms have been found for this gene.



Aliases:    BTF2; BT2.2; BTN2.2    

Entrez GeneID:    10385    

Swissprot:    Q8WVV5    

WB Predicted band size :   59kDa    

Host/Isotype :   Mouse IgG1    

Species Reactivity :   Human    

Immunogen :   Purified recombinant fragment of human BTN2A2 (AA: extra 57-237) expressed in E. Coli.    

Operation

IHC    1/200 - 1/1000    

FCM    1/200 - 1/400    

ELISA    1/10000    

References