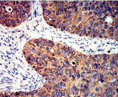
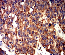
BCL2L2 Mouse Monoclonal antibody[4G12E]

AccuSift
BCLW; BCL-W; PPP1R51; BCL2-L-2
SKU Name Unit Price Delivery QTY
AC1262 BCL2L2 Mouse Monoclonal antibody[4G12E] 100ug $367 10days
AC1262 BCL2L2 Mouse Monoclonal antibody[4G12E] 200ug $660.6 10days

This gene encodes a member of the BCL-2 protein family. The proteins of this family form hetero- or homodimers and act as anti- and pro-apoptotic regulators. Expression of this gene in cells has been shown to contribute to reduced cell apoptosis under cytotoxic conditions. Studies of the related gene in mice indicated a role in the survival of NGF- and BDNF-dependent neurons. Mutation and knockout studies of the mouse gene demonstrated an essential role in adult spermatogenesis. Alternative splicing results in multiple transcript variants. Read-through transcription also exists between this gene and the neighboring downstream PABPN1 (poly(A) binding protein, nuclear 1) gene.



Aliases:   BCLW; BCL-W; PPP1R51; BCL2-L-2    

Entrez GeneID:    599    

Swissprot :   Q92843     

WB Predicted band size:    20.7kDa    

Host/Isotype:    Mouse IgG2a    

Species Reactivity :   Human    

Immunogen:    Purified recombinant fragment of human BCL2L2 (AA: 6-118) expressed in E. Coli.    

Operation

WB    1/500 - 1/2000    

IHC    1/200 - 1/1000    

IF/ICC    1/200 - 1/1000    

FCM    1/200 - 1/400    

ELISA    1/10000    

References