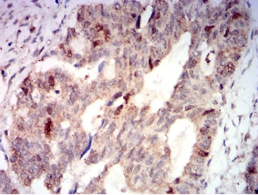
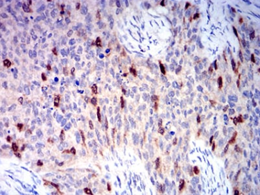
AURKA Mouse Monoclonal antibody[2D8A4]

AccuSift
AIK; ARK1; AURA; BTAK; STK6; STK7; STK15; PPP1R47
SKU Name Unit Price Delivery QTY
AC1221 AURKA Mouse Monoclonal antibody[2D8A4] 100ug $367 10days
AC1221 AURKA Mouse Monoclonal antibody[2D8A4] 200ug $660.6 10days

The protein encoded by this gene is a cell cycle-regulated kinase that appears to be involved in microtubule formation and/or stabilization at the spindle pole during chromosome segregation. The encoded protein is found at the centrosome in interphase cells and at the spindle poles in mitosis. This gene may play a role in tumor development and progression. A processed pseudogene of this gene has been found on chromosome 1, and an unprocessed pseudogene has been found on chromosome 10. Multiple transcript variants encoding the same protein have been found for this gene.

    

Aliases : AIK; ARK1; AURA; BTAK; STK6; STK7; STK15; PPP1R47    

Entrez GeneID : 6790    

Swissprot : O14965    

WB Predicted band size : 45.8kDa    

Host/Isotype : Mouse IgG2b        

Species Reactivity : Human    

Immunogen : Purified recombinant fragment of human AURKA (AA: 268-404) expressed in E. Coli.    

Operation

WB    1/500 - 1/2000    

IHC    1/200 - 1/1000    

IF/ICC    1/200 - 1/1000    

FCM    1/200 - 1/400    

ELISA    1/10000    

References