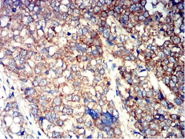
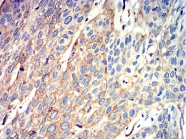
ATG3 Mouse Monoclonal antibody[7A1D1]

AccuSift
APG3; APG3L; PC3-96; APG3-LIKE
SKU Name Unit Price Delivery QTY
AC1185 ATG3 Mouse Monoclonal antibody[7A1D1] 100ug $367 10days
AC1185 ATG3 Mouse Monoclonal antibody[7A1D1] 200ug $660.6 10days

This gene encodes a ubiquitin-like-conjugating enzyme and is a component of ubiquitination-like systems involved in autophagy, the process of degradation, turnover and recycling of cytoplasmic constituents in eukaryotic cells. This protein is known to play a role in regulation of autophagy during cell death. A pseudogene of this gene is located on chromosome 20. Alternative splicing results in multiple transcript variants encoding different isoforms.

    

Aliases    APG3; APG3L; PC3-96; APG3-LIKE    

Entrez GeneID    64422    

Swissprot    Q9NT62    

WB Predicted band size    35.9kDa    

Host/Isotype    Mouse IgG1    

Species Reactivity    Human,Monkey    

Immunogen    Purified recombinant fragment of human ATG3 (AA: 1-100) expressed in E. Coli.    


Operation

WB    1/500 - 1/2000    

IHC    1/200 - 1/1000    

IF/ICC    1/200 - 1/1000    

ELISA    1/10000    

References