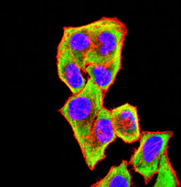
ARG1 Mouse Monoclonal antibody[3A6A4]

AccuSift
arginase 1
SKU Name Unit Price Delivery QTY
AC1158 ARG1 Mouse Monoclonal antibody[3A6A4] 100ug $367 10days
AC1158 ARG1 Mouse Monoclonal antibody[3A6A4] 200ug $660.6 10days



Arginase catalyzes the hydrolysis of arginine to ornithine and urea. At least two isoforms of mammalian arginase exist (types I and II) which differ in their tissue distribution, subcellular localization, immunologic crossreactivity and physiologic function. The type I isoform encoded by this gene, is a cytosolic enzyme and expressed predominantly in the liver as a component of the urea cycle. Inherited deficiency of this enzyme results in argininemia, an autosomal recessive disorder characterized by hyperammonemia. Two transcript variants encoding different isoforms have been found for this gene. 


Aliases    arginase 1    

Entrez GeneID    383    

Swissprot    P05089      

WB Predicted band size    37 kDa    

Host/Isotype    Mouse IgG2b    

Species Reactivity    Human,Rat    

Immunogen    Purified recombinant fragment of human ARG1 (AA:1-322) expressed in E. Coli.    


Operation

WB    1/500 - 1/2000    

IF/ICC    1/200 - 1/1000    

FCM    1/200 - 1/400    

ELISA    1/10000    

References