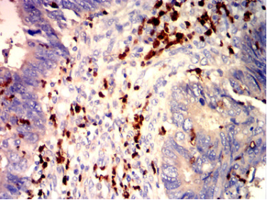
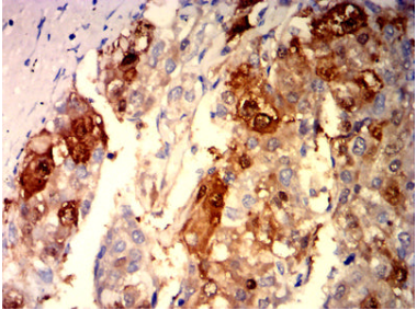
ARG1 Mouse Monoclonal antibody[6B4B1]

AccuSift
ARG1
SKU Name Unit Price Delivery QTY
AC1156 ARG1 Mouse Monoclonal antibody[6B4B1] 100ug $367 10days
AC1156 ARG1 Mouse Monoclonal antibody[6B4B1] 200ug $660.6 10days

Arginase catalyzes the hydrolysis of arginine to ornithine and urea. At least two isoforms of mammalian arginase exist (types I and II) which differ in their tissue distribution, subcellular localization, immunologic crossreactivity and physiologic function. The type I isoform encoded by this gene, is a cytosolic enzyme and expressed predominantly in the liver as a component of the urea cycle. Inherited deficiency of this enzyme results in argininemia, an autosomal recessive disorder characterized by hyperammonemia. Two transcript variants encoding different isoforms have been found for this gene. [provided by RefSeq, Sep 2011]

    

Aliases  :  ARG1    

Entrez GeneID :   383    

Swissprot :   P05089    

WB Predicted band size : 34.7kDa    

Host/Isotype:  Mouse IgG1    

Species Reactivity:   Human    

Immunogen:   Purified recombinant fragment of human ARG1 (AA: (1-322)) expressed in E. Coli.    

Operation

IHC    1/200-1/1000    

ELISA    1/10000    

References