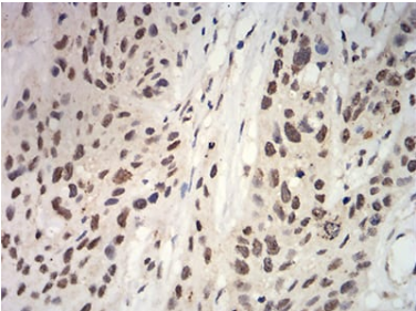
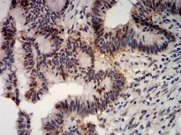
ANAPC10 Mouse Monoclonal antibody[8F1D1]

AccuSift
DOC1; APC10
SKU Name Unit Price Delivery QTY
AC1117 ANAPC10 Mouse Monoclonal antibody[8F1D1] 100ug $367 10days
AC1117 ANAPC10 Mouse Monoclonal antibody[8F1D1] 200ug $660.6 10days

ANAPC10 is a core subunit of the anaphase-promoting complex (APC), or cyclosome, a ubiquitin protein ligase that is essential for progression through the cell cycle. APC initiates sister chromatid separation by ubiquitinating the anaphase inhibitor securin (PTTG1; MIM 604147) and triggers exit from mitosis by ubiquitinating cyclin B (CCNB1; MIM 123836), the activating subunit of cyclin-dependent kinase-1 (CDK1; MIM 116940) (summary by Wendt et al., 2001 [PubMed 11524682]).

   

Aliases:  DOC1; APC10    

Entrez GeneID:  10393    

Swissprot:  Q9UM13        

WB Predicted band size : 21.3kDa    

Host/Isotype:    Mouse IgG1    

Species Reactivity :   Human    

Immunogen:   Purified recombinant fragment of human ANAPC10 (AA: 1-185) expressed in E. Coli.    


Operation

WB    1/500 - 1/2000    

IHC    1/200 - 1/1000    

IF/ICC    1/200 - 1/1000    

FCM    1/200 - 1/400    

ELISA    1/10000    

References