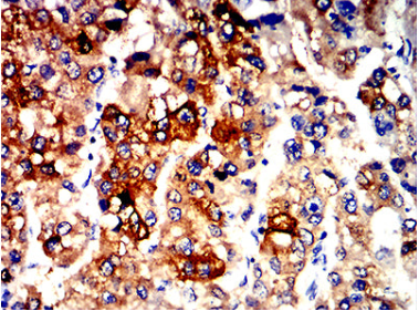
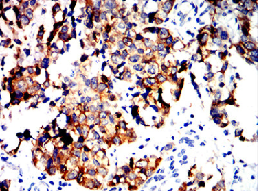
ALDH1L1 Mouse Monoclonal antibody[1B5E9]

AccuSift
FDH; FTHFD; 10-fTHF; 10-FTHFDH
SKU Name Unit Price Delivery QTY
AC1091 ALDH1L1 Mouse Monoclonal antibody[1B5E9] 100ug $367 10days
AC1091 ALDH1L1 Mouse Monoclonal antibody[1B5E9] 200ug $660.6 10days

The protein encoded by this gene catalyzes the conversion of 10-formyltetrahydrofolate, nicotinamide adenine dinucleotide phosphate (NADP+), and water to tetrahydrofolate, NADPH, and carbon dioxide. The encoded protein belongs to the aldehyde dehydrogenase family. Loss of function or expression of this gene is associated with decreased apoptosis, increased cell motility, and cancer progression. There is an antisense transcript that overlaps on the opposite strand with this gene locus. Alternative splicing results in multiple transcript variants.


Aliases    FDH; FTHFD; 10-fTHF; 10-FTHFDH    

Entrez GeneID    10840    

Swissprot    O75891      

WB Predicted band size    98.8kDa    

Host/Isotype    Mouse IgG1    

Species Reactivity    Human, Mouse, Rat    

Immunogen    Purified recombinant fragment of human ALDH1L1 (AA: 10-222) expressed in E. Coli.    

Operation

WB    1/500 - 1/2000    

IHC    1/200 - 1/1000    

FCM    1/200 - 1/400    

ELISA    1/10000    

References