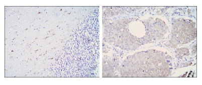
ALDH1A1 Mouse Monoclonal antibody[5A11]

AccuSift
ALDC; ALDH1; PUMB1; ALDH11; RALDH1; ALDH-E1; MGC2318; ALDH1A1
SKU Name Unit Price Delivery QTY
AC1090 ALDH1A1 Mouse Monoclonal antibody[5A11] 100ug $367 10days
AC1090 ALDH1A1 Mouse Monoclonal antibody[5A11] 200ug $660.6 10days

ALDH1A1 is an aldehyde dehydrogenase able to oxidize a wide variety of aliphatic aldehydes (retinaldehyde, acetaldehyde, etc.) to the corresponding carboxylic acids (retinoic acid, acetic acid, etc.). ALDH1A1 (also known as RALDH1, ALDH1, or AHD2) is highly expressed in the dorsal retina, ventral midbrain (dopaminergic neurons), and hematopoietic stem cells. ALDH1A1 is involved in retinoic acid (RA) synthesis during vertebrate embryogenesis. ALDH1A1 is first detected at E9.0-E10.5 in cranial tissues (ventral mesencephalon, dorsal retina, thymic primordia, optic vesicles) and in the mesonephros. ALDH1A1 is also of interest in Parkinson's Disease (PD) being expressed in the the A9 dopaminergic (DA) neuronal group projecting to the dorsal striatum; this is the most vulnerable site in PD (Chung et al, 2005). ALDH1A1 protein is a known mesencephalic dopaminergic marker. ALDH1A1 is a cytosolic enzyme that preferentially oxidizes retinaldehyde to retinoic acid .ALDH1A1 is expressed in the epithelium of many organs, including brain, liver, testis, eye lens and cornea .ALDH1A1 is highly expressed in brain dopaminergic neurons, where it produces the retinoic acid required for their differentiation and development .The retinoic acid produced by ALDH1A1 is also important for the differentiation of hematopoietic stem cells.



Aliases    ALDC; ALDH1; PUMB1; ALDH11; RALDH1; ALDH-E1; MGC2318; ALDH1A1    

Entrez GeneID    216    

Swissprot    P00352    

WB Predicted band size    55kDa    

Host/Isotype    Mouse IgG1    

Species Reactivity    Human    

Immunogen    Purified recombinant fragment of human ALDH1A1 expressed in E. Coli.    


Operation

WB    1/500 - 1/2000    

IHC    1/200 - 1/1000    

ELISA    1/10000    

References