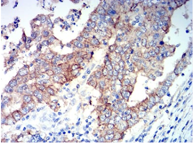
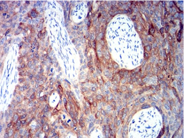
ALDH1A1 Mouse Monoclonal antibody[2G1G4]

AccuSift
ALDC; ALDH1; HEL-9; HEL12; PUMB1; ALDH11; RALDH1; ALDH-E1; HEL-S-53e
SKU Name Unit Price Delivery QTY
AC1089 ALDH1A1 Mouse Monoclonal antibody[2G1G4] 100ug $367 10days
AC1089 ALDH1A1 Mouse Monoclonal antibody[2G1G4] 200ug $660.6 10days

he protein encoded by this gene belongs to the aldehyde dehydrogenase family. Aldehyde dehydrogenase is the next enzyme after alcohol dehydrogenase in the major pathway of alcohol metabolism. There are two major aldehyde dehydrogenase isozymes in the liver, cytosolic and mitochondrial, which are encoded by distinct genes, and can be distinguished by their electrophoretic mobility, kinetic properties, and subcellular localization. This gene encodes the cytosolic isozyme. Studies in mice show that through its role in retinol metabolism, this gene may also be involved in the regulation of the metabolic responses to high-fat diet.

    

Aliases    ALDC; ALDH1; HEL-9; HEL12; PUMB1; ALDH11; RALDH1; ALDH-E1; HEL-S-53e    

Entrez GeneID    216    

Swissprot    P00352      

WB Predicted band size    54.9kDa    

Host/Isotype    Mouse IgG1    

Species Reactivity    Human    

Immunogen    Purified recombinant fragment of human ALDH1A1 (AA: 1-110) expressed in E. Coli.    

Operation

WB    1/500 - 1/2000    

IHC    1/200 - 1/1000    

ELISA    1/10000    

References