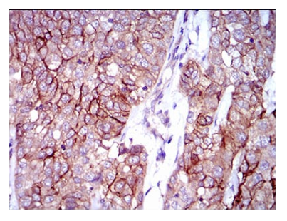
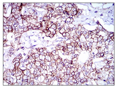
ALCAM Mouse Monoclonal antibody[4H9A5]

AccuSift
MEMD; CD166; FLJ38514; MGC71733
SKU Name Unit Price Delivery QTY
AC1085 ALCAM Mouse Monoclonal antibody[4H9A5] 100ug $367 10days
AC1085 ALCAM Mouse Monoclonal antibody[4H9A5] 200ug $660.6 10days

This gene encodes activated leukocyte cell adhesion molecule (ALCAM), also known as CD166 (cluster of differentiation 166), which is a member of a subfamily of immunoglobulin receptors with five immunoglobulin-like domains (VVC2C2C2) in the extracellular domain. This protein binds to T-cell differentiation antigene CD6, and is implicated in the processes of cell adhesion and migration. Multiple alternatively spliced transcript variants encoding different isoforms have been found.


Aliases :   MEMD; CD166; FLJ38514; MGC71733    

Entrez GeneID :   214    

Swissprot:   Q13740    

WB Predicted band size:   65.1kDa    

Host/Isotype:   Mouse IgG2b        

Species Reactivity:   Human,Mouse    

Immunogen:   Purified recombinant fragment of human ALCAM (AA: 48-216) expressed in E. Coli.    

Operation

WB    1/500 - 1/2000    

IHC    1/200 - 1/1000    

FCM    1/200 - 1/400    

ELISA    1/10000    

References