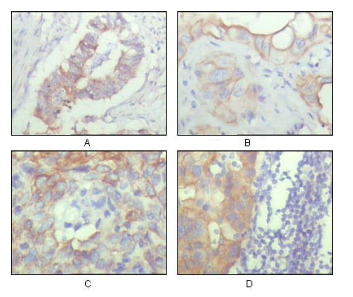
| SKU | Name | Unit | Price | Delivery | QTY |
|---|---|---|---|---|---|
| AC1083 | ALCAM Mouse Monoclonal antibody[10F1G] | 100ug | $367 | 10days |
|
| AC1083 | ALCAM Mouse Monoclonal antibody[10F1G] | 200ug | $660.6 | 10days |
|

WeChat