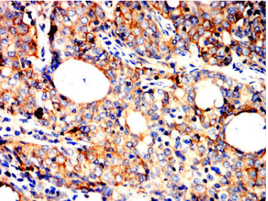
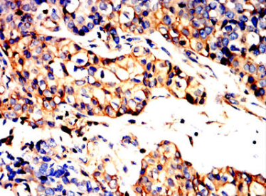
AHNAK Mouse Monoclonal antibody[8B3A4]

AccuSift
PM227; AHNAKRS
SKU Name Unit Price Delivery QTY
AC1066 AHNAK Mouse Monoclonal antibody[8B3A4] 100ug $367 10days
AC1066 AHNAK Mouse Monoclonal antibody[8B3A4] 200ug $660.6 10days

The protein encoded by this gene is a large (700 kDa) structural scaffold protein consisting of a central domain with 128 aa repeats. The encoded protein may play a role in such diverse processes as blood-brain barrier formation, cell structure and migration, cardiac calcium channel regulation, and tumor metastasis. A much shorter variant encoding a 17 kDa isoform exists for this gene, and the shorter isoform initiates a feedback loop that regulates alternative splicing of this gene.

    

Aliases    PM227; AHNAKRS    

Entrez GeneID    79026    

Swissprot    Q09666    

WB Predicted band size    63KDa    

Host/Isotype    Mouse IgG1        

Species Reactivity    Human    

Immunogen    Purified recombinant fragment of human AHNAK (AA: 1-200) expressed in E. Coli.    


Operation

WB    1/500-1/1000    

IHC    1/200 - 1/1000    

IF/ICC    1/200 - 1/1000    

FCM    1/200 - 1/400    

ELISA    1/10000    

References