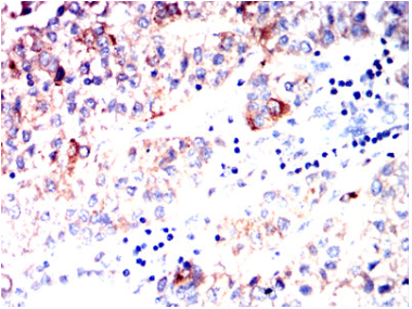
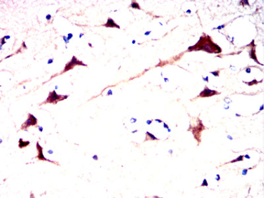
AFP Mouse Monoclonal antibody[2G4H3]

AccuSift
AFPD; FETA; HPAFP
SKU Name Unit Price Delivery QTY
AC1059 AFP Mouse Monoclonal antibody[2G4H3] 100ug $367 10days
AC1059 AFP Mouse Monoclonal antibody[2G4H3] 200ug $660.6 10days

This gene encodes alpha-fetoprotein, a major plasma protein produced by the yolk sac and the liver during fetal life. Alpha-fetoprotein expression in adults is often associated with hepatocarcinoma and with teratoma, and has prognostic value for managing advanced gastric cancer. However, hereditary persistance of alpha-fetoprotein may also be found in individuals with no obvious pathology. The protein is thought to be the fetal counterpart of serum albumin, and the alpha-fetoprotein and albumin genes are present in tandem in the same transcriptional orientation on chromosome 4. Alpha-fetoprotein is found in monomeric as well as dimeric and trimeric forms, and binds copper, nickel, fatty acids and bilirubin. The level of alpha-fetoprotein in amniotic fluid is used to measure renal loss of protein to screen for spina bifida and anencephaly.

    

Aliases :   AFPD; FETA; HPAFP    

Entrez GeneID :   174    

Swissprot :   P02771     

WB Predicted band size :   68.6kDa    

Host/Isotype :   Mouse IgG2b    

Species Reactivity :   Human    

Immunogen :   Purified recombinant fragment of human AFP (AA: 19-210) expressed in HEK293-6e cells supernatant.    

Operation

IHC    1/200 - 1/1000    

FCM    1/200 - 1/400    

ELISA    1/10000    

References