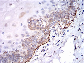
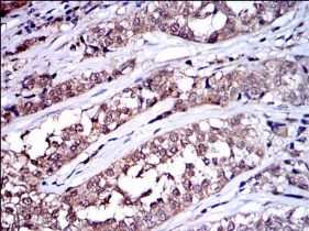
SRC Mouse Monoclonal antibody[1F114]

AccuSift
ASV; SRC1; c-SRC; p60-Src
SKU Name Unit Price Delivery QTY
AC3571 SRC Mouse Monoclonal antibody[1F114] 100ug $367 10days
AC3571 SRC Mouse Monoclonal antibody[1F114] 200ug $660.6 10days

This gene is highly similar to the v-src gene of Rous sarcoma virus. This proto-oncogene may play a role in the regulation of embryonic development and cell growth. The protein encoded by this gene is a tyrosine-protein kinase whose activity can be inhibited by phosphorylation by c-SRC kinase. Mutations in this gene could be involved in the malignant progression of colon cancer. Two transcript variants encoding the same protein have been found for this gene.


Aliases:    ASV; SRC1; c-SRC; p60-Src    

Entrez GeneID:    6714    

Swissprot:    P12931    

WB Predicted band size:   60kDa    

Host/Isotype:    Mouse IgG1    

Species Reactivity:    Human    

Immunogen:    Purified recombinant fragment of human SRC expressed in E. Coli.    

Operation

WB    1/500 - 1/2000    

IHC    1/200 - 1/1000    

FCM    1/200 - 1/400    

ELISA    1/10000    

References