PDPK1 Mouse Monoclonal antibody[3H3D9]

AccuSift
PDK1; PDPK2; PDPK2P; PRO0461
SKU Name Unit Price Delivery QTY
AC3143 PDPK1 Mouse Monoclonal antibody[3H3D9] 100ug $367 10days
AC3143 PDPK1 Mouse Monoclonal antibody[3H3D9] 200ug $660.6 10days

Phosphoinositide-dependent kinase 1 (PDPK1, PDK1) is a serine/threonine protein kinase integral to the function of the PI 3-K/Akt signaling pathway. PDK1 and mTORC2 both phosphorylate and activate PKB/Akt, ensuring a cellular response to stimuli such as growth factors and insulin signaling. Akt is the main effector of PDK1.


Aliases:    PDK1; PDPK2; PDPK2P; PRO0461    

Entrez GeneID:    5170    

Swissprot :   O15530    

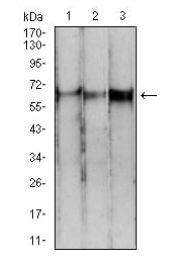
WB Predicted band size:    63.2kDa    

Host/Isotype:    Mouse IgG1    

Species Reactivity:    Human    

Immunogen:    Purified recombinant fragment of human PDPK1 (AA: 457-556 expressed in E. Coli.    

Operation

WB    1/500 - 1/2000    

IF/ICC    1/200 - 1/1000    

FCM    1/200 - 1/400    

ELISA    1/10000    

References