PDE1B Mouse Monoclonal antibody[10B0]

AccuSift
PDE1B1; PDES1B
SKU Name Unit Price Delivery QTY
AC3125 PDE1B Mouse Monoclonal antibody[10B0] 100ug $367 10days
AC3125 PDE1B Mouse Monoclonal antibody[10B0] 200ug $660.6 10days

The protein encoded by this gene belongs to the cyclic nucleotide phosphodiesterase (PDE) family, and PDE1 subfamily. Members of the PDE1 family are calmodulin-dependent PDEs that are stimulated by a calcium-calmodulin complex. This PDE has dual-specificity for the second messengers, cAMP and cGMP, with a preference for cGMP as a substrate. cAMP and cGMP function as key regulators of many important physiological processes. Alternatively spliced transcript variants encoding different isoforms have been described for this gene.


Aliases:   PDE1B1; PDES1B    

Entrez GeneID:    5153    

Swissprot:    Q01064    

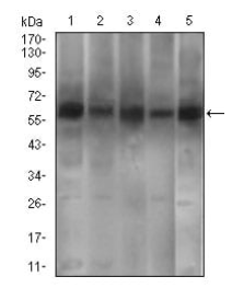
WB Predicted band size :   61.4kDa    

Host/Isotype :   Mouse IgG1    

Species Reactivity:    Human,Mouse,Monkey    

Immunogen:    Purified recombinant fragment of human PDE1B (AA: 370-536) expressed in E. Coli.    

Operation

WB    1/500 - 1/2000    

FCM    1/200 - 1/400    

ELISA    1/10000    

References