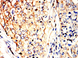
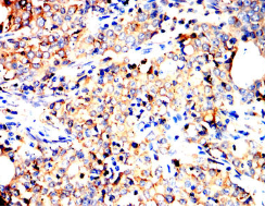
P4HB Mouse Monoclonal antibody[3F12C]

AccuSift
DSI; GIT; PDI; PHDB; PDIA1; PO4DB; PO4HB; PROHB; CLCRP1; ERBA2L; P4Hbeta
SKU Name Unit Price Delivery QTY
AC3081 P4HB Mouse Monoclonal antibody[3F12C] 100ug $367 10days
AC3081 P4HB Mouse Monoclonal antibody[3F12C] 200ug $660.6 10days

This gene encodes the beta subunit of prolyl 4-hydroxylase, a highly abundant multifunctional enzyme that belongs to the protein disulfide isomerase family. When present as a tetramer consisting of two alpha and two beta subunits, this enzyme is involved in hydroxylation of prolyl residues in preprocollagen. This enzyme is also a disulfide isomerase containing two thioredoxin domains that catalyze the formation, breakage and rearrangement of disulfide bonds. Other known functions include its ability to act as a chaperone that inhibits aggregation of misfolded proteins in a concentration-dependent manner, its ability to bind thyroid hormone, its role in both the influx and efflux of S-nitrosothiol-bound nitric oxide, and its function as a subunit of the microsomal triglyceride transfer protein complex.

  

Aliases:    DSI,GIT, PDI,PHDB, PDIA1,PO4DB, PO4HB,PROHB,CLCRP1, ERBA2L,P4Hbeta    

Entrez GeneID:    5034    

Swissprot:    P07237     

WB Predicted band size:    57.1kDa    

Host/Isotype :   Mouse IgG2a    

Species Reactivity:   Human    

Immunogen :   Purified recombinant fragment of human P4HB (AA:309-508) expressed in mammalian.    

Operation

WB    1/500 - 1/2000    

IHC    1/200 - 1/1000    

IF/ICC    1/200 - 1/1000    

FCM    1/200 - 1/400    

ELISA    1/10000    

References