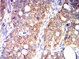
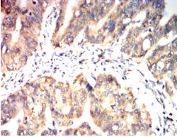
P4HB Mouse Monoclonal antibody[4E10]

AccuSift
DSI; GIT; PDI; PHDB; PDIA1; PO4DB; PO4HB; PROHB; CLCRP1; ERBA2L; P4Hbeta
SKU Name Unit Price Delivery QTY
AC3079 P4HB Mouse Monoclonal antibody[4E10] 100ug $367 10days
AC3079 P4HB Mouse Monoclonal antibody[4E10] 200ug $660.6 10days

This gene encodes the beta subunit of prolyl 4-hydroxylase, a highly abundant multifunctional enzyme that belongs to the protein disulfide isomerase family. When present as a tetramer consisting of two alpha and two beta subunits, this enzyme is involved in hydroxylation of prolyl residues in preprocollagen. This enzyme is also a disulfide isomerase containing two thioredoxin domains that catalyze the formation, breakage and rearrangement of disulfide bonds. Other known functions include its ability to act as a chaperone that inhibits aggregation of misfolded proteins in a concentration-dependent manner, its ability to bind thyroid hormone, its role in both the influx and efflux of S-nitrosothiol-bound nitric oxide, and its function as a subunit of the microsomal triglyceride transfer protein complex.



Aliases:    DSI,GIT,PDI,PHDB,PDIA1,PO4DB,PO4HB,PROHB,CLCRP1,ERBA2L,P4Hbeta    

Entrez GeneID :   5034    

Swissprot:    P07237    

WB Predicted band size:    57.1kDa    

Host/Isotype:    Mouse IgG2a    

Species Reactivity:    Human    

Immunogen:    Purified recombinant fragment of human P4HB (AA: 309-508) expressed in Mammalian.    

Operation

WB    1/500 - 1/2000    

IHC    1/200 - 1/1000    

FCM    1/200 - 1/400    

ELISA    1/10000    

References