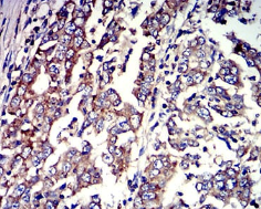
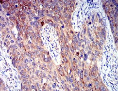
P2RY4 Mouse Monoclonal antibody[3B4H6]

AccuSift
NRU; P2P; UNR; P2Y4
SKU Name Unit Price Delivery QTY
AC3075 P2RY4 Mouse Monoclonal antibody[3B4H6] 100ug $367 10days
AC3075 P2RY4 Mouse Monoclonal antibody[3B4H6] 200ug $660.6 10days

The product of this gene belongs to the family of G-protein coupled receptors. This family has several receptor subtypes with different pharmacological selectivity, which overlaps in some cases, for various adenosine and uridine nucleotides. This receptor is responsive to uridine nucleotides, partially responsive to ATP, and not responsive to ADP.



Aliases:    NRU; P2P; UNR; P2Y4    

Entrez GeneID:    5030    

Swissprot :   P51582      

WB Predicted band size :   41kDa    

Host/Isotype :   Mouse IgG1    

Species Reactivity:    Human    

Immunogen:    Purified recombinant fragment of human P2RY4 (AA: extra mix) expressed in E. Coli.    

Operation

IHC    1/200 - 1/1000    

IF/ICC    1/100 - 1/500    

FCM    1/200 - 1/400    

ELISA    1/10000    

References