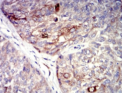
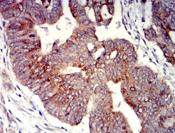
P2RY4 Mouse Monoclonal antibody[3B4C1]

AccuSift
NRU; P2P; UNR; P2Y4
SKU Name Unit Price Delivery QTY
AC3074 P2RY4 Mouse Monoclonal antibody[3B4C1] 100ug $367 10days
AC3074 P2RY4 Mouse Monoclonal antibody[3B4C1] 200ug $660.6 10days

The product of this gene belongs to the family of G-protein coupled receptors. This family has several receptor subtypes with different pharmacological selectivity, which overlaps in some cases, for various adenosine and uridine nucleotides. This receptor is responsive to uridine nucleotides, partially responsive to ATP, and not responsive to ADP.



Aliases:    NRU; P2P; UNR; P2Y4    

Entrez GeneID:    5030    

Swissprot :   P51582     

WB Predicted band size:    41kDa    

Host/Isotype :   Mouse IgG1    

Species Reactivity :   Human    

Immunogen :   Purified recombinant fragment of human P2RY4 (AA: extra mix) expressed in E. Coli.    

Operation

WB    1/500 - 1/2000    

IHC    1/200 - 1/1000    

ELISA    1/10000    

References