Neurod Mouse Monoclonal antibody[6E912]

AccuSift
BETA2; BHF-1; MODY6; NEUROD; bHLHa3
SKU Name Unit Price Delivery QTY
AC2982 Neurod Mouse Monoclonal antibody[6E912] 100ug $367 10days
AC2982 Neurod Mouse Monoclonal antibody[6E912] 200ug $660.6 10days

This gene encodes a member of the NeuroD family of basic helix-loop-helix (bHLH) transcription factors. The protein forms heterodimers with other bHLH proteins and activates transcription of genes that contain a specific DNA sequence known as the E-box. It regulates expression of the insulin gene, and mutations in this gene result in type II diabetes mellitus.



Aliases:    BETA2; BHF-1; MODY6; NEUROD; bHLHa3    

Entrez GeneID:    4760    

Swissprot:    Q13562     

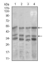
WB Predicted band size:    40kDa    

Host/Isotype :   Mouse IgG1    

Species Reactivity:    Human,Mouse,Monkey    

Immunogen :   Purified recombinant fragment of human Neurod (AA: 26-91 ) expressed in E. Coli.    

Operation

WB    1/500 - 1/2000    

ELISA    1/10000    

References