NEFL Mouse Monoclonal antibody[1H3A4]

AccuSift
NFL; NF-L; NF68; CMT1F; CMT2E
SKU Name Unit Price Delivery QTY
AC2974 NEFL Mouse Monoclonal antibody[1H3A4] 100ug $367 10days
AC2974 NEFL Mouse Monoclonal antibody[1H3A4] 200ug $660.6 10days

Neurofilaments are type IV intermediate filament heteropolymers composed of light, medium, and heavy chains. Neurofilaments comprise the axoskeleton and they functionally maintain the neuronal caliber. They may also play a role in intracellular transport to axons and dendrites. This gene encodes the light chain neurofilament protein. Mutations in this gene cause Charcot-Marie-Tooth disease types 1F (CMT1F) and 2E (CMT2E), disorders of the peripheral nervous system that are characterized by distinct neuropathies. A pseudogene has been identified on chromosome Y.

    

Aliases:    NFL; NF-L; NF68; CMT1F; CMT2E    

Entrez GeneID:    4747    

Swissprot :   P07196    

WB Predicted band size:   62kDa    

Host/Isotype :   Mouse IgG1    

Species Reactivity:    Human    

Immunogen:   Purified recombinant fragment of human NEFL expressed in E. Coli.    

Operation

WB    1/500 - 1/2000    

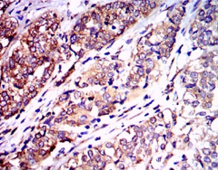
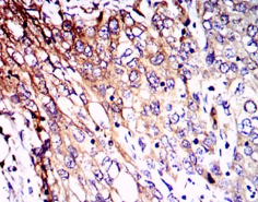
IHC    1/200 - 1/1000    

IF/ICC    1/200 - 1/1000    

FCM    1/200 - 1/400    

ELISA    1/10000    

References