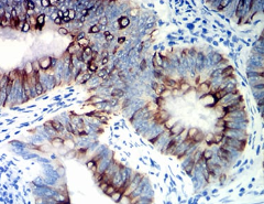
NAPSA Mouse Monoclonal antibody[5A6E4]

AccuSift
KAP; Kdap; NAP1; NAPA; SNAPA
SKU Name Unit Price Delivery QTY
AC2955 NAPSA Mouse Monoclonal antibody[5A6E4] 100ug $367 10days
AC2955 NAPSA Mouse Monoclonal antibody[5A6E4] 200ug $660.6 10days

This gene encodes a member of the peptidase A1 family of aspartic proteases. The encoded preproprotein is proteolytically processed to generate an activation peptide and the mature protease. The activation peptides of aspartic proteinases function as inhibitors of the protease active site. These peptide segments, or pro-parts, are deemed important for correct folding, targeting, and control of the activation of aspartic proteinase zymogens. The encoded protease may play a role in the proteolytic processing of pulmonary surfactant protein B in the lung and may function in protein catabolism in the renal proximal tubules. This gene has been described as a marker for lung adenocarcinoma and renal cell carcinoma.



Aliases :   KAP; Kdap; NAP1; NAPA; SNAPA    

Entrez GeneID:    9476    

Swissprot :   O96009    

WB Predicted band size:    45.4kDa    

Host/Isotype:    Mouse IgG1    

Species Reactivity :   Human    

Immunogen:    Synthesized peptide of human NAPSA (AA: KPIFVPLSNYRDVQYc).    

Operation

IHC    1/200 - 1/1000    

ELISA    1/10000    

References