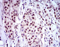
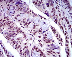
NAPSA Mouse Monoclonal antibody[10C4B]

AccuSift
KAP; Kdap; NAP1; NAPA; SNAPA
SKU Name Unit Price Delivery QTY
AC2953 NAPSA Mouse Monoclonal antibody[10C4B] 100ug $367 10days
AC2953 NAPSA Mouse Monoclonal antibody[10C4B] 200ug $660.6 10days

The activation peptides of aspartic proteinases plays role as inhibitors of the active site. These peptide segments, or pro-parts, are deemed important for correct folding, targeting, and control of the activation of aspartic proteinase zymogens. The pronapsin A gene is expressed predominantly in lung and kidney. Its translation product is predicted to be a fully functional, glycosylated aspartic proteinase precursor containing an RGD motif and an additional 18 residues at its C-terminus.


Aliases:    KAP; Kdap; NAP1; NAPA; SNAPA    

Entrez GeneID:   9476    

Swissprot:    O96009     

WB Predicted band size :   45.4kDa    

Host/Isotype :   Mouse IgG1    

Species Reactivity:    Human,Rat    

Immunogen:    Purified recombinant fragment of human NAPSA (AA: 20-158) expressed in E. Coli.    

Operation

WB    1/500 - 1/2000    

IHC    1/200 - 1/1000    

ELISA    1/10000    

References