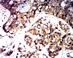
MR1 Mouse Monoclonal antibody[6A5B2]

AccuSift
HLALS
SKU Name Unit Price Delivery QTY
AC2868 MR1 Mouse Monoclonal antibody[6A5B2] 100ug $367 10days
AC2868 MR1 Mouse Monoclonal antibody[6A5B2] 200ug $660.6 10days

MAIT (mucosal-associated invariant T-cells) lymphocytes represent a small population of T-cells primarily found in the gut. The protein encoded by this gene is an antigen-presenting molecule that presents metabolites of microbial vitamin B to MAITs. This presentation may activate the MAITs to regulate the amounts of specific types of bacteria in the gut. Several transcript variants encoding different isoforms have been found for this gene, and a pseudogene of it has been detected about 36 kbp upstream on the same chromosome.

    

Aliases:    HLALS    

Entrez GeneID:    3140    

Swissprot :   Q95460    

WB Predicted band size:    39.4kDa    

Host/Isotype:    Mouse IgG2a    

Species Reactivity:    Human    

Immunogen:    Purified recombinant fragment of human MR1 (AA: extra(23-302)) expressed in E. Coli.    

Operation

IHC    1/200 - 1/1000    

IF/ICC    1/200 - 1/1000    

FCM    1/200 - 1/400    

ELISA    1/10000    

References