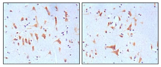
FMR1 Mouse Monoclonal antibody[4G9B1]

AccuSift
POF; FMRP; POF1; FRAXA; MGC87458; FMR1
SKU Name Unit Price Delivery QTY
AC2268 FMR1 Mouse Monoclonal antibody[4G9B1] 100ug $367 10days
AC2268 FMR1 Mouse Monoclonal antibody[4G9B1] 200ug $660.6 10days

FMR1, also known as POF, FMRP, FRAXA. Entrez Protein: NP_002015. It is an RNA-binding protein that associates with polyribosomes and is a likely component of a messenger ribonuclear protein (mRNP) particle The protein may be involved in mRNA trafficking from the nucleus to the cytoplasm. A trinucleotide repeat (CGG) in the 5' UTR is normally found at 6-53 copies, but an expansion to 55-230 repeats is the cause of fragile X syndrome. Expansion of the trinucleotide repeat may also cause one form of premature ovarian failure (POF1). RNA-binding protein that plays a role in intracellular RNA transport and in the regulation of translation of target mRNAs.



Aliases:    POF; FMRP; POF1; FRAXA    

Entrez GeneID :   2332    

Swissprot:    Q06787     

WB Predicted band size:    71kDa    

Host/Isotype :   Mouse IgG1    

Species Reactivity:    Human    

Immunogen :   Purified recombinant fragment of human FMR1 expressed in E. Coli.    

Operation

WB    1/500 - 1/2000    

IHC    1/200 - 1/1000    

IF/ICC    1/200 - 1/1000    

ELISA    1/10000    

References