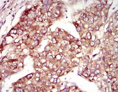
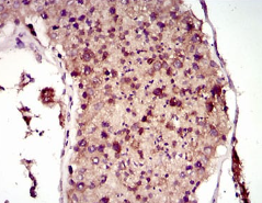
MAP1LC3A Mouse Monoclonal antibody[5B10D]

AccuSift
LC3; LC3A; ATG8E; MAP1ALC3; MAP1BLC3
SKU Name Unit Price Delivery QTY
AC2769 MAP1LC3A Mouse Monoclonal antibody[5B10D] 100ug $367 10days
AC2769 MAP1LC3A Mouse Monoclonal antibody[5B10D] 200ug $660.6 10days

MAP1A and MAP1B are microtubule-associated proteins which mediate the physical interactions between microtubules and components of the cytoskeleton. MAP1A and MAP1B each consist of a heavy chain subunit and multiple light chain subunits. The protein encoded by this gene is one of the light chain subunits and can associate with either MAP1A or MAP1B. Two transcript variants encoding different isoforms have been found for this gene. The expression of variant 1 is suppressed in many tumor cell lines, suggesting that may be involved in carcinogenesis.



Aliases :   LC3; LC3A; ATG8E; MAP1ALC3; MAP1BLC3    

Entrez GeneID:    84557    

Swissprot :   Q9H492    

WB Predicted band size :   14.3kDa    

Host/Isotype :   Mouse IgG1    

Species Reactivit:    Human    

Immunogen :   Purified recombinant fragment of human MAP1LC3A (AA: 1-121) expressed in E. Coli.    

Operation

IHC    1/200 - 1/1000    

FCM    1/200 - 1/400    

ELISA    1/10000    

References