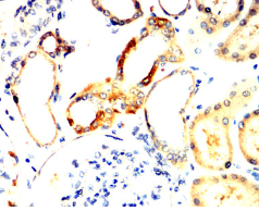
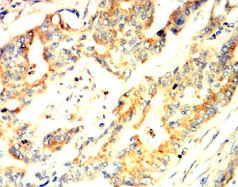
M6PR Mouse Monoclonal antibody[6G11E]

AccuSift
SMPR; MPR46; CD-MPR; MPR 46; MPR-46; CD-M6PR
SKU Name Unit Price Delivery QTY
AC2763 M6PR Mouse Monoclonal antibody[6G11E] 100ug $367 10days
AC2763 M6PR Mouse Monoclonal antibody[6G11E] 200ug $660.6 10days

This gene encodes a member of the P-type lectin family. P-type lectins play a critical role in lysosome function through the specific transport of mannose-6-phosphate-containing acid hydrolases from the Golgi complex to lysosomes. The encoded protein functions as a homodimer and requires divalent cations for ligand binding. Alternatively spliced transcript variants encoding multiple isoforms have been observed for this gene. A pseudogene of this gene is located on the long arm of chromosome X.



Aliases:    SMPR; MPR46; CD-MPR; MPR 46; MPR-46; CD-M6PR    

Entrez GeneID :  4074    

Swissprot:    P20645    

WB Predicted band size:    31kDa    

Host/Isotype :   Mouse IgG1    

Species Reactivity:    Human    

Immunogen:    Purified recombinant fragment of human M6PR (AA: 27-277) expressed in E. Coli.    

Operation

IHC    1/200 - 1/1000    

IF/ICC    1/50 - 1/200    

FCM    1/200 - 1/400    

ELISA    1/10000    

References