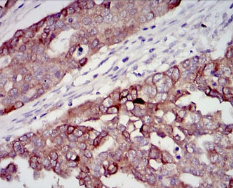
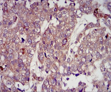
IGF2 Mouse Monoclonal antibody[8H1A6]

AccuSift
IGF-II; PP9974; C11orf43; FLJ22066; FLJ44734
SKU Name Unit Price Delivery QTY
AC2516 IGF2 Mouse Monoclonal antibody[8H1A6] 100ug $367 10days
AC2516 IGF2 Mouse Monoclonal antibody[8H1A6] 200ug $660.6 10days

This gene encodes a member of the insulin family of polypeptide growth factors, which are involved in development and growth. It is an imprinted gene, expressed only from the paternal allele, and epigenetic changes at this locus are associated with Wilms tumour, Beckwith-Wiedemann syndrome, rhabdomyosarcoma, and Silver-Russell syndrome. A read-through INS-IGF2 gene exists, whose 5' region overlaps the INS gene and the 3' region overlaps this gene. Alternatively spliced transcript variants encoding different isoforms have been found for this gene.



Aliases:    IGF-II; PP9974; C11orf43; FLJ22066; FLJ44734    

Entrez GeneID:    3481    

Swissprot:    P01344    

WB Predicted band size:    20.1kDa    

Host/Isotype:    Mouse IgG1    

Species Reactivity:    Human    

Immunogen:    Purified recombinant fragment of human IGF2 (AA: 25-180) expressed in E. Coli.    

Operation

IHC    1/200 - 1/1000    

IF/ICC    1/200 - 1/1000    

FCM    1/200 - 1/400    

ELISA    1/10000    

References