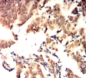
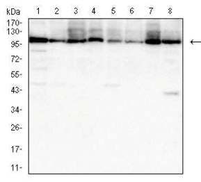
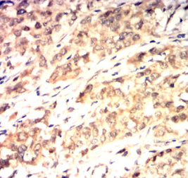
HSP70 Mouse Monoclonal antibody[6H4A]

AccuSift
RY; APG-2; HSPH2; HSPA4; hsp70RY; HEL-S-5a; HS24/P52
SKU Name Unit Price Delivery QTY
AC2478 HSP70 Mouse Monoclonal antibody[6H4A] 100ug $367 10days
AC2478 HSP70 Mouse Monoclonal antibody[6H4A] 200ug $660.6 10days

HSPA4 (Heat Shock Protein Family A (Hsp70) Member 4) is a Protein Coding gene. Diseases associated with HSPA4 include Vulvovaginitis and Babesiosis. Among its related pathways are Cellular response to heat stress and Mechanisms of CFTR activation by S-nitrosoglutathione (normal and CF). An important paralog of this gene is HSPA4L.


Aliases:    RY; APG-2; HSPH2; HSPA4 ; hsp70RY; HEL-S-5a; HS24/P52;Heat shock 70 kDa protein 4    

Entrez GeneID:    3308    

Swissprot:    P34932    

WB Predicted band size:    94.3kDa    

Host/Isotype:    Mouse IgG2b    

Species Reactivity:    Human, Mouse, Rat, Monkey    

Immunogen:    Purified recombinant fragment of human HSP70 (AA: 642-841) expressed in Mammalian    

Operation

WB    1/500 - 1/2000    

IHC    1/200 - 1/1000    

FCM    1/200 - 1/400    

ELISA    1/10000    

References