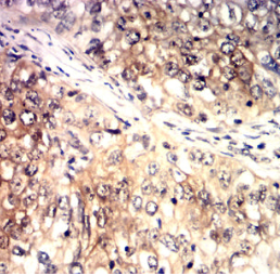
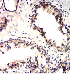
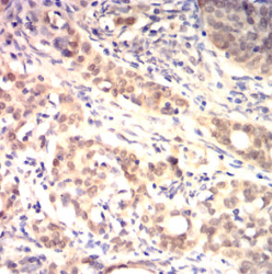
HSP70 Mouse Monoclonal antibody[2E4F1]

AccuSift
HSPA4; RY; APG-2; HSPH2; hsp70; hsp70RY; HEL-S-5a; HS24/P52
SKU Name Unit Price Delivery QTY
AC2477 HSP70 Mouse Monoclonal antibody[2E4F1] 100ug $367 10days
AC2477 HSP70 Mouse Monoclonal antibody[2E4F1] 200ug $660.6 10days

HSPA4 (Heat Shock Protein Family A (Hsp70) Member 4) is a Protein Coding gene. Diseases associated with HSPA4 include Vulvovaginitis and Babesiosis. Among its related pathways are Regulation of degradation of deltaF508 CFTR in CF and Chks in Checkpoint Regulation. An important paralog of this gene is HSPA4L.



Aliases:    RY; APG-2; HSPH2; HSPA4; hsp70RY; HEL-S-5a; HS24/P52    

Entrez GeneID:    3308    

Swissprot :   P34932       

WB Predicted band size :   94.3kDa    

Host/Isotype :   Mouse IgG1    

Species Reactivity:    Human, Monkey    

Immunogen :   Purified recombinant fragment of human HSP70 (AA: 642-841) expressed in Mammalian.    

Operation

WB    1/500 - 1/2000    

IHC    1/200 - 1/1000    

FCM    1/200 - 1/400    

ELISA    1/10000    

References