HK1 Mouse Monoclonal antibody[3A10]

AccuSift
HKI; HXK1; HK1-ta; HK1-tb; HK1-tc; HK1
SKU Name Unit Price Delivery QTY
AC2443 HK1 Mouse Monoclonal antibody[3A10] 100ug $367 10days
AC2443 HK1 Mouse Monoclonal antibody[3A10] 200ug $660.6 10days

The hexokinases utilize Mg-ATP as a phosphoryl donor to catalyze the first step of intracellular glucose metabolism, the conversion of glucose to glucose- 6-phosphate. Four hexokinase isoenzymes have been identified, including hexokinase I (HXK I), hexokinase II (HXK II), hexokinase III (HXK III) and hexokinase IV (HXK IV, also designated glucokinase or GCK). Hexokinases I-III each contain an N-terminal cluster of hydrophobic amino acids. Glucokinase lacks the N-terminal hydrophobic cluster. The hydrophobic cluster is thought to be necessary for membrane binding. This is substantiated by the finding that glucokinase has lower affinity for glucose than do the other hexokinases. HK I has been shown to be expressed in brain, kidney and heart tissues as well as in hepatoma cell lines.

   


Aliases :   HKI; HXK1; HK1-ta; HK1-tb; HK1-tc; HK1    

Entrez GeneID:    3098    

Swissprot:    P19367       

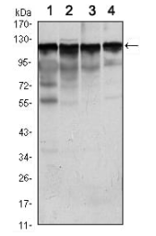
WB Predicted band size :   102kDa    

Host/Isotype :   Mouse IgG1      

Species Reactivity:    Human,Mouse,Rat    

Immunogen:    Purified recombinant fragment of human HK1 expressed in E. Coli.    

Operation

WB    1/500 - 1/2000    

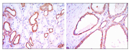
IHC    1/200 - 1/1000    

IF/ICC    1/200 - 1/1000    

FCM    1/200 - 1/400    

ELISA    1/10000    

References