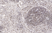
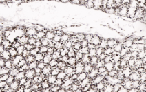
HDAC2 Rabbit Monoclonal antibody[4C10]

AccuSift
HD2; RPD3; YAF1
SKU Name Unit Price Delivery QTY
AC2422 HDAC2 Rabbit Monoclonal antibody[4C10] 100ug $367 10days
AC2422 HDAC2 Rabbit Monoclonal antibody[4C10] 200ug $660.6 10days

This gene product belongs to the histone deacetylase family. Histone deacetylases act via the formation of large multiprotein complexes, and are responsible for the deacetylation of lysine residues at the N-terminal regions of core histones (H2A, H2B, H3 and H4). This protein forms transcriptional repressor complexes by associating with many different proteins, including YY1, a mammalian zinc-finger transcription factor. Thus, it plays an important role in transcriptional regulation, cell cycle progression and developmental events. Alternative splicing results in multiple transcript variants. [provided by RefSeq, Apr 2010],



Aliases:    HDAC2;Histone deacetylase 2;HD2    

Entrez GeneID :   3066    

Swissprot:    Q92769    

WB Predicted band size:    55kD    

Host/Isotype:    Rabbit IgG,Kappa    

Species Reactivity:    Human,Mouse,Rat,    

Operation

WB    1/1000-5000    

IP    1/50-200    

IHC    1/200-500    

IF/ICC    1/200-1000    

ELISA    1/5000-20000    

References