HDAC1 Mouse Monoclonal antibody[2A1D3]

AccuSift
HD1; RPD3; KDAC1; GON-10; RPD3L1
SKU Name Unit Price Delivery QTY
AC2420 HDAC1 Mouse Monoclonal antibody[2A1D3] 100ug $367 10days
AC2420 HDAC1 Mouse Monoclonal antibody[2A1D3] 200ug $660.6 10days

Histone acetylation and deacetylation, catalyzed by multisubunit complexes, play a key role in the regulation of eukaryotic gene expression. The protein encoded by this gene belongs to the histone deacetylase/acuc/apha family and is a component of the histone deacetylase complex. It also interacts with retinoblastoma tumor-suppressor protein and this complex is a key element in the control of cell proliferation and differentiation. Together with metastasis-associated protein-2, it deacetylates p53 and modulates its effect on cell growth and apoptosis.



Aliases:    HD1; RPD3; KDAC1; GON-10; RPD3L1    

Entrez GeneID:    3065    

Swissprot:   Q13547    

WB Predicted band size :   55.1kDa    

Host/Isotype :   Mouse IgG1    

Species Reactivity:    Human, Mouse    

Immunogen :   Purified recombinant fragment of human HDAC1 (AA: 321-482) expressed in E. Coli.    

Operation

WB    1/500 - 1/2000    

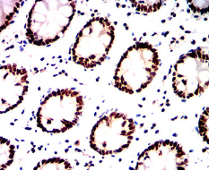
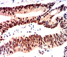
IHC    1/200 - 1/1000    

IF/ICC    1/200 - 1/1000    

FCM    1/200 - 1/400    

ELISA    1/10000    

References