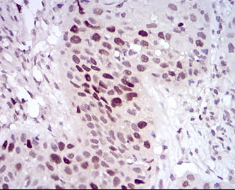
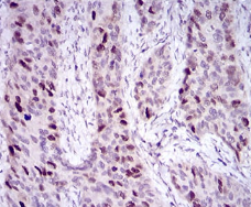
HDAC10 Mouse Monoclonal antibody[3B6B8]

AccuSift
HD10
SKU Name Unit Price Delivery QTY
AC2421 HDAC10 Mouse Monoclonal antibody[3B6B8] 100ug $367 10days
AC2421 HDAC10 Mouse Monoclonal antibody[3B6B8] 200ug $660.6 10days

The protein encoded by this gene belongs to the histone deacetylase family, members of which deacetylate lysine residues on the N-terminal part of the core histones. Histone deacetylation modulates chromatin structure, and plays an important role in transcriptional regulation, cell cycle progression, and developmental events. Alternatively spliced transcript variants encoding different isoforms have been found for this gene.



Aliases:    HD10    

Entrez GeneID:    83933    

Swissprot:    Q969S8     

WB Predicted band size:    71.4kDa    

Host/Isotype :   Mouse IgG2a    

Species Reactivity:    Human    

Immunogen :   Purified recombinant fragment of human HDAC10 (AA: 18-219) expressed in E. Coli.    

Operation

IHC    1/200 - 1/1000    

ELISA    1/10000    

References