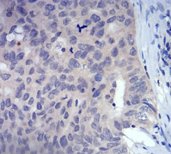
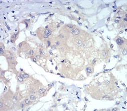
FOXP3 Mouse Monoclonal antibody[4F12A]

AccuSift
JM2; AIID; IPEX; PIDX; XPID; DIETER
SKU Name Unit Price Delivery QTY
AC2288 FOXP3 Mouse Monoclonal antibody[4F12A] 100ug $367 10days
AC2288 FOXP3 Mouse Monoclonal antibody[4F12A] 200ug $660.6 10days

The protein encoded by this gene is a member of the forkhead/winged-helix family of transcriptional regulators. Defects in this gene are the cause of immunodeficiency polyendocrinopathy, enteropathy, X-linked syndrome (IPEX), also known as X-linked autoimmunity-immunodeficiency syndrome. Alternatively spliced transcript variants encoding different isoforms have been identified.



Aliases:    JM2; AIID; IPEX; PIDX; XPID; DIETER    

Entrez GeneID:    50943    

Swissprot:    Q9BZS1    

WB Predicted band size :   47.3kDa    

Host/Isotype :   Mouse IgG1    

Species Reactivity :   Human,Mouse,Rabbit    

Immunogen:    Purified recombinant fragment of human FOXP3 (AA: 297-431) expressed in E. Coli.    

Operation

WB    1/500 - 1/2000    

IHC    1/100 - 1/500    

FCM    1/200 - 1/400    

ELISA    1/10000    

References