Foxp3 Mouse Monoclonal antibody[2A11G]

AccuSift
JM2; AIID; IPEX; PIDX; XPID; DIETER; MGC141961; MGC141963; FOXP3
SKU Name Unit Price Delivery QTY
AC2285 Foxp3 Mouse Monoclonal antibody[2A11G] 100ug $367 10days
AC2285 Foxp3 Mouse Monoclonal antibody[2A11G] 200ug $660.6 10days

The transcription factor Foxp family includes Foxp1, Foxp2, and Foxp3. The Foxp3 (50KDa)plays a key role in CD4(+) CD25(+) regulatory T cell function and represents a specific marker for these cells. Despite its strong association with regulatory T cell function, in humans little is known about the frequency of CD4(+) CD25(+) cells that express FOXP3 protein nor the distribution of these cells in vivo. FOXP3 may be a master regulatory gene and a more specific marker of regulatory T cells than other T cells.



Aliases:    JM2; AIID; IPEX; PIDX; XPID; DIETER, Foxp3    

Entrez GeneID:    50943    

Swissprot:    Q9BZS1    

Species Reactivity :   Human,Mouse    

Immunogen :   Purified recombinant fragment of human Foxp3 expressed in E. Coli.    

Operation

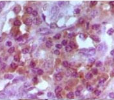
IHC    1/200 - 1/1000    

IF/ICC    1/200 - 1/1000    

ELISA    1/10000    

References