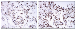
ESR1 Mouse Monoclonal antibody[6B6A9]

AccuSift
ER; ESR; Era; ESRA; NR3A1; DKFZp686N23123; ESR1
SKU Name Unit Price Delivery QTY
AC2198 ESR1 Mouse Monoclonal antibody[6B6A9] 100ug $367 10days
AC2198 ESR1 Mouse Monoclonal antibody[6B6A9] 200ug $660.6 10days

This gene encodes an estrogen receptor, a ligand-activated transcription factor composed of several domains important for hormone binding, DNA binding, and activation of transcription. The protein localizes to the nucleus where it may form a homodimer or a heterodimer with estrogen receptor 2. Estrogen and its receptors are essential for sexual development and reproductive function, but also play a role in other tissues such as bone. Estrogen receptors are also involved in pathological processes including breast cancer, endometrial cancer, and osteoporosis.



Aliases:    ER; ESR; Era; ESRA; NR3A1; DKFZp686N23123; ESR1    

Entrez GeneID :   2099    

Swissprot:    P03372    

WB Predicted band size:    66kDa    

Host/Isotype :   Mouse IgG1    

Species Reactivity:    Human    

Immunogen :   Purified recombinant fragment of human ESR1 expressed in E. Coli.    

Operation

WB    1/500 - 1/2000    

IHC    1/200 - 1/1000    

IF/ICC    1/200 - 1/1000    

ELISA    1/10000    

References