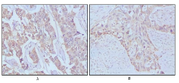
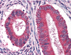
EGF Mouse Monoclonal antibody[9D7F1]

AccuSift
URG; HOMG4; EGF
SKU Name Unit Price Delivery QTY
AC2121 EGF Mouse Monoclonal antibody[9D7F1] 100ug $367 10days
AC2121 EGF Mouse Monoclonal antibody[9D7F1] 200ug $660.6 10days

Epidermal growth factor has a profound effect on the differentiation of specific cells in vivo and is a potent mitogenic factor for a variety of cultured cells of both ectodermal and mesodermal origin. The EGF precursor is believed to exist as a membrane-bound molecule which is proteolytically cleaved to generate the 53-amino acid peptide hormone that stimulates cells to divide.



Aliases:    URG; HOMG4; EGF    

Entrez GeneID:   1950    

Swissprot:   P01133    

WB Predicted band size:    134kDa    

Host/Isotype :   Mouse IgG1    

Species Reactivity:    Human    

Immunogen :   Purified recombinant fragment of human EGF expressed in E. Coli.    

Operation

IHC    1/200 - 1/1000    

ELISA    1/10000    

References