CHUK Mouse Monoclonal antibody[3G12H]

AccuSift
IKK1; IKKA; IKBKA; TCF16; NFKBIKA; IKK-alpha; CHUK
SKU Name Unit Price Delivery QTY
AC1939 CHUK Mouse Monoclonal antibody[3G12H] 100ug $367 10days
AC1939 CHUK Mouse Monoclonal antibody[3G12H] 200ug $660.6 10days

This gene encodes a member of the serine/threonine protein kinase family. The encoded protein, a component of a cytokine-activated protein complex that is an inhibitor of the essential transcription factor NF-kappa-B complex, phosphorylates sites that trigger the degradation of the inhibitor via the ubiquination pathway, thereby activating the transcription factor.



Aliases:    IKK1; IKKA; IKBKA; TCF16; NFKBIKA; IKK-alpha; CHUK    

Entrez GeneID:    1147    

Swissprot:    O15111    

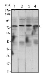
WB Predicted band size:    85kDa    

Host/Isotype:    Mouse IgG1    

Species Reactivity:    Human    

Immunogen :   Purified recombinant fragment of human CHUK expressed in E. Coli.    

Operation

WB    1/500 - 1/2000    

IF/ICC    1/200 - 1/1000    

FCM    1/200 - 1/400    

ELISA    1/10000    

References