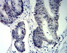
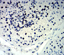
CDKN1C Mouse Monoclonal antibody[1F4A9]

AccuSift
BWS; WBS; p57; BWCR; KIP2; p57Kip2
SKU Name Unit Price Delivery QTY
AC1879 CDKN1C Mouse Monoclonal antibody[1F4A9] 100ug $367 10days
AC1879 CDKN1C Mouse Monoclonal antibody[1F4A9] 200ug $660.6 10days

This gene is imprinted, with preferential expression of the maternal allele. The encoded protein is a tight-binding, strong inhibitor of several G1 cyclin/Cdk complexes and a negative regulator of cell proliferation. Mutations in this gene are implicated in sporadic cancers and Beckwith-Wiedemann syndorome, suggesting that this gene is a tumor suppressor candidate. Three transcript variants encoding two different isoforms have been found for this gene.



Aliases :   BWS; WBS; p57; BWCR; KIP2; p57Kip2    

Entrez GeneID:    1028    

Swissprot :   P49918    

WB Predicted band size:    32.2kDa    

Host/Isotype:    Mouse IgG1    

Species Reactivity:    Human    

Immunogen :   Purified recombinant fragment of human CDKN1C expressed in E. Coli.    

Operation

WB    1/500 - 1/2000    

IHC    1/200-1/1000    

IF/ICC    1/200 - 1/1000    

FCM    1/200-1/400    

ELISA    1/10000    

References