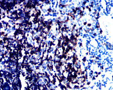
CD1a Mouse Monoclonal antibody[7C7F7]

AccuSift
R4; T6; CD1; FCB6; HTA1
SKU Name Unit Price Delivery QTY
AC1563 CD1a Mouse Monoclonal antibody[7C7F7] 100ug $367 10days
AC1563 CD1a Mouse Monoclonal antibody[7C7F7] 200ug $660.6 10days

This gene encodes a member of the CD1 family of transmembrane glycoproteins, which are structurally related to the major histocompatibility complex (MHC) proteins and form heterodimers with beta-2-microglobulin. The CD1 proteins mediate the presentation of primarily lipid and glycolipid antigens of self or microbial origin to T cells. The human genome contains five CD1 family genes organized in a cluster on chromosome 1. The CD1 family members are thought to differ in their cellular localization and specificity for particular lipid ligands. The protein encoded by this gene localizes to the plasma membrane and to recycling vesicles of the early endocytic system. Alternative splicing results in multiple transcript variants. [provided by RefSeq, Mar 2016]



Aliases :   R4; T6; CD1; FCB6; HTA1    

Entrez GeneID:    909    

Swissprot:    P06126    

WB Predicted band size:    37kDa    

Host/Isotype :   Mouse IgG1    

Species Reactivity:    Human    

Immunogen :   Purified recombinant fragment of human CD1A (AA: 17-116) expressed in E. Coli.    

Operation

IHC    1/200 - 1/1000    

FCM    1/200 - 1/400    

ELISA    1/10000    

References