CD1A Mouse Monoclonal antibody[7A7B9]

AccuSift
R4; T6; CD1; FCB6; HTA1; CD1A
SKU Name Unit Price Delivery QTY
AC1562 CD1A Mouse Monoclonal antibody[7A7B9] 100ug $367 10days
AC1562 CD1A Mouse Monoclonal antibody[7A7B9] 200ug $660.6 10days

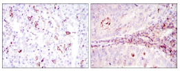
CD1a is a non polymorphic MHC Class 1 related cell surface glycoprotein, expressed in association with Beta 2 microglobulin. CD1a is expressed by cortical thymocytes, Langerhan's cells and by interdigitating cells. CD1a is also expressed by some malignancies of T cell lineage and in histiocytosis X. Tissue specificity: Expressed on cortical thymocytes, epidermal Langerhans cells, dendritic cells, on certain T-cell leukemias, and in various other tissues.



Aliases:    R4; T6; CD1; FCB6; HTA1; CD1A    

Entrez GeneID:    909    

Swissprot :   P06126    

WB Predicted band size:    37kDa    

Host/Isotype :   Mouse IgG1    

Species Reactivity :   Human    

Immunogen:    Purified recombinant fragment of human CD1A expressed in E. Coli.    

Operation

WB    1/500 - 1/2000    

IHC    1/200 - 1/1000    

IF/ICC    1/200 - 1/1000    

ELISA    1/10000    

References