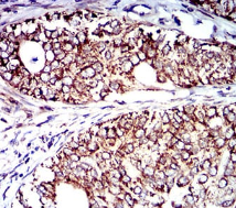
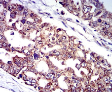
CD129 Mouse Monoclonal antibody[4AL1]

AccuSift
IL9R; IL-9R
SKU Name Unit Price Delivery QTY
AC1466 CD129 Mouse Monoclonal antibody[4AL1] 100ug $367 10days
AC1466 CD129 Mouse Monoclonal antibody[4AL1] 200ug $660.6 10days

The protein encoded by this gene is a cytokine receptor that specifically mediates the biological effects of interleukin 9 (IL9). The functional IL9 receptor complex requires this protein as well as the interleukin 2 receptor, gamma (IL2RG), a common gamma subunit shared by the receptors of many different cytokines. The ligand binding of this receptor leads to the activation of various JAK kinases and STAT proteins, which connect to different biologic responses. This gene is located at the pseudoautosomal regions of X and Y chromosomes. Genetic studies suggested an association of this gene with the development of asthma. Multiple pseudogenes on chromosome 9, 10, 16, and 18 have been described. Alternatively spliced transcript variants have been found for this gene.



Aliases:    IL9R; IL-9R    

Entrez GeneID:    3581    

Swissprot :   Q01113    

WB Predicted band size:    57.1kDa    

Host/Isotype:   Mouse IgG1    

Species Reactivity:    Human,Rat    

Immunogen:    Purified recombinant fragment of human CD129 (AA: extra 41-270) expressed in E. Coli.    

Operation

WB    1/500 - 1/2000    

IHC    1/200 - 1/1000    

FCM    1/200 - 1/400    

ELISA    1/10000    

References