CCND1 Mouse Monoclonal antibody[1F7F5]

AccuSift
BCL1; PRAD1; U21B31; D11S287E
SKU Name Unit Price Delivery QTY
AC1396 CCND1 Mouse Monoclonal antibody[1F7F5] 100ug $367 10days
AC1396 CCND1 Mouse Monoclonal antibody[1F7F5] 200ug $660.6 10days

The protein encoded by this gene belongs to the highly conserved cyclin family, whose members are characterized by a dramatic periodicity in protein abundance throughout the cell cycle. Cyclins function as regulators of CDK kinases. Different cyclins exhibit distinct expression and degradation patterns which contribute to the temporal coordination of each mitotic event. This cyclin forms a complex with and functions as a regulatory subunit of CDK4 or CDK6, whose activity is required for cell cycle G1/S transition. This protein has been shown to interact with tumor suppressor protein Rb and the expression of this gene is regulated positively by Rb. Mutations, amplification and overexpression of this gene, which alters cell cycle progression, are observed frequently in a variety of human cancers.

    

Aliases:    BCL1; PRAD1; U21B31; D11S287E    

Entrez GeneID:    595    

Swissprot:    P24385    

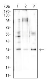
WB Predicted band size :   33.7kDa    

Host/Isotype :   Mouse IgG1    

Species Reactivity :   Human, Mouse    

Immunogen  :  Purified recombinant fragment of human CCND1 (AA: 1-295) expressed in E. Coli.    

Operation

WB    1/500 - 1/2000    

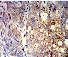
IHC    1/200-1/1000    

FCM    1/200-1/400    

ELISA    1/10000    

References