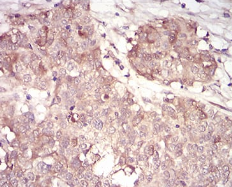
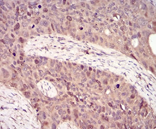
CCNA2 Mouse Monoclonal antibody[6B4D1]

AccuSift
CCN1; CCNA
SKU Name Unit Price Delivery QTY
AC1392 CCNA2 Mouse Monoclonal antibody[6B4D1] 100ug $367 10days
AC1392 CCNA2 Mouse Monoclonal antibody[6B4D1] 200ug $660.6 10days

The protein encoded by this gene belongs to the highly conserved cyclin family, whose members are characterized by a dramatic periodicity in protein abundance through the cell cycle. Cyclins function as regulators of CDK kinases. Different cyclins exhibit distinct expression and degradation patterns which contribute to the temporal coordination of each mitotic event. In contrast to cyclin A1, which is present only in germ cells, this cyclin is expressed in all tissues tested. This cyclin binds and activates CDC2 or CDK2 kinases, and thus promotes both cell cycle G1/S and G2/M transitions.



Aliases:    CCN1; CCNA    

Entrez GeneID :   890    

Swissprot:    P20248    

WB Predicted band size:    48.6kDa    

Host/Isotype:    Mouse IgG1    

Species Reactivity:    Human    

Immunogen :   Purified recombinant fragment of human CCNA2 (AA: 105-233) expressed in E. Coli.    

Operation

WB    1/500 - 1/2000    

IHC    1/200 - 1/1000    

FCM    1/200 - 1/400    

ELISA    1/10000    

References