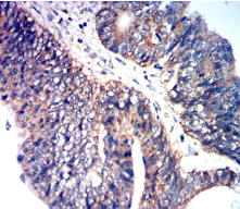
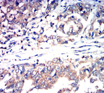
CCL27 Mouse Monoclonal antibody[3B7A5]

AccuSift
ALP; ILC; CTAK; CTACK; PESKY; ESKINE; SCYA27
SKU Name Unit Price Delivery QTY
AC1389 CCL27 Mouse Monoclonal antibody[3B7A5] 100ug $367 10days
AC1389 CCL27 Mouse Monoclonal antibody[3B7A5] 200ug $660.6 10days

This gene is one of several CC cytokine genes clustered on the p-arm of chromosome 9. Cytokines are a family of secreted proteins involved in immunoregulatory and inflammatory processes. The CC cytokines are proteins characterized by two adjacent cysteines. The protein encoded by this gene is chemotactic for skin-associated memory T lymphocytes. This cytokine may also play a role in mediating homing of lymphocytes to cutaneous sites. It specifically binds to chemokine receptor 10 (CCR10). Studies of a similar murine protein indicate that these protein-receptor interactions have a pivotal role in T cell-mediated skin inflammation. [provided by RefSeq, Sep 2014]



Aliases:    ALP; ILC; CTAK; CTACK; PESKY; ESKINE; SCYA27    

Entrez GeneID:    10850    

Swissprot:    Q9Y4X3    

WB Predicted band size:    12.6kDa    

Host/Isotype :   Mouse IgG1    

Species Reactivity :   Human    

Immunogen:    Purified recombinant fragment of human CCL27 (AA: 25-112) expressed in E. Coli.    

Operation

IHC    1/200 - 1/1000    

IF/ICC    1/200 - 1/1000    

FCM    1/200 - 1/400    

ELISA    1/10000    

References